デンタルホワイトニングについて
歯を今よりも白く美しくする事を「ホワイトニング」といいます。「ホワイトニング」にはいろいろな方法があるので、自分の希望や歯の状態に合わせて方法を選択しましょう。
■あなたの歯の色は?

歯のクリーニング
|
|
生えたての頃は白かった歯も、食べ物、飲み物、うがい薬、タバコのヤニ等の影響で少しずつ黄ばんできます。これは歯 の表面に色素がくっついてしまうためです。この色素を歯科医師や歯科衛生士が専用の器具でキレイに落としていくのが「歯のクリーニング」です。歯のクリー ニングによって元々の自分の歯の色まで白くすることができ、本来の艶が戻ります。また、「歯のクリーニング」はむし歯や歯周病の予防にも効果があります。 白さの維持と予防のために、定期的に行うことをおすすめします。
もしもクリーニングで歯が白くならなかったら…。
一度削ってしまった歯は元には戻りません。 十分に説明を受け、納得した上で治療を受けてください。 以下費用はすべて公的医療保険適用外です。
|
ホワイトコート
|
 |
|
歯の表面に専用の接着剤(プライマー)を塗布し白色樹脂(ベースコート)を塗って固めます。最後に透明で光沢のある樹脂(トップコート)を塗って光で固めて完了です。歯にマニキュア(爪にする)をする感じです。 (リスクについて)透明感はなく、色も均一なので不自然さは残ると思ってください。通常1ヵ月程度は美白効果が持続します。ただし、歯を削る必要はないですし、ホワイトニング剤を作用させることもないのでしみたりすることはありません。通常1回で治療できます。
|
|
●1歯
|
2,750円(税込)
|
 |
|
|
|
オフィスホワイトニング
|
 |
|
美白剤の主要成分は35%過酸化水素で、治療時間は90分ほど。アメリカでは、すでに100万人以上の患者が この技術で歯を美白しています。喫煙やコーヒー、紅茶の飲用、また薬物(フッ素やテトラサイクリン)による歯の変色、老化や遺伝による黄ばみにも効果があ ります。特別な技術で開発されたホワイトニング材を塗布した歯の表面に特殊光を照射することによりホワイトニングすることができます。 (リスクについて)一時的に歯がしみるなど不快症状がでることがあります。またホワイトニング効果は永久ではありません。定期的なクリーニング、ホワイトニングをおすすめします。
|
|
●上下顎 12前歯 |
1回8800円(税込) |
 |
|
●同日2回目以降 |
1回7700円(税込) |
 |
|
|
|
セラミックインレー
|
 |
|
天然の歯の色と同じセラミックの詰め物です。小さな虫歯の場合、その悪くなった部分 だけを取り除き、その穴をきれいに形成した上で人工材料の詰め物をおこないます。 これがインレー法という施術です。インレー法で使う詰め物には、従来金属が使用されていましたが、審美性を高めるためセラミックを使用するセラミックインレー法が開発されました。 金属と違い天然歯に合わせたカラーリングが可能なので、美しく自然な仕上がりが期待できます。また最近では、すでに治療済みの奥歯の詰め物をセラミックインレーに詰め替える方が増えています。 (リスクについて)一時的に歯がしみるなどの不快症状がでることがあります。また、金属に近い強度を有しますが、まれに破折することがあります。
セラミックイントレーの治療例 |
|
●1歯 |
49,500円(税込) |
 |
|
|
ポーセレンラミネートベニア
|
 |
|
遺伝的な原因で薬剤によるホワイトニングだけでは白い歯にならない場合や、白さに満足いかない時、歯の形態を少し修正したい時に行います。歯の表層を少し削り、セラミックを貼る方法です。 歯を削る量が少なく治療回数も2回程度。 しかし、歯並びや歯のねじれなどを大きく修正する場合は適しません。この方法は、歯を白くするだけでなく、ムシ歯やねじれた歯などにも幅広く適応でき、セラミック片の形や大きさを調整することで、 歯並びや歯の形をある程度までは修正できます。 材質はセラミックですから、歯肉にも 優しく変色の心配もありません。 (リスクについて)一時的に歯がしみるなど不快症状がでることがあります。また、歯に近い強度を有しますが、破折することがあります。
ポーセレンラミネートベニアの治療例 |
|
●1歯 |
77,000円(税込) |
 |
|
|
メタルポンドクラウン
|
 |
|
歯の色だけでなく、歯並びも同時に治したい場合に行います。高温でセラミックと金属を結合させたクラウンを使用し、審美性と強度を合わせ持った修復方法です。歯の周囲を一層削り、金属の表面にセラミックを焼き付けたクラウンを合着します。白さの調整ができ、色が変色することはありません。 (リスクについて)一時的に歯がしみるなど不快症状がでることがあります。中に金属がある為よくみると不自然さを感じるかもしれません。また、歯に近い強度を有しますが、破折することがあります。
メタルボンドクラウンの治療例
|
|
●1歯 |
93,500円(税込) |
 |
|
|
ファイバーコア+オールセラミッククラウン
|
 |
|
メタルボンドクラウンは金属の表面にセラミックを焼き付けて製作しますがオールセラミッククラウンはすべてセラミックなので光をよく通しより自然に近い色調が得られます。また、土台の製作が必要な場合ファイバーコアを用いますので、歯根の中にも光が入り、白い歯の根元が黒く見えにくくなります。さらに、ファイバーコアは従来の金属を用いた土台と比較して、応力の分散がスムーズに行われる為、歯根破折が起こりにくいとされています。近年口腔内に装着された金属によりアレルギーを発症される方が増えてきていますが、このシステムですと一切金属を使用しませんのでその心配もありません。 (リスクについて)一時的に歯がしみるなど不快症状がでることがあります。金属に近い強度を有しますが、まれに破折することがあります。
ファイバーコア+オールセラミッククラウンの治療例 / オールセラミッククラウンの治療例
|
|
●1歯 |
77,000と110,000円(税込) |
 |
|
|
このページの先頭へ戻る
レジンインレーとセラミックインレー
|
 |
・上の写真はレジンインレー(俗によくプラスチックにいわれています)を装着して2~3年経過した状態です。
インレーは変色を起こし、歯質との境目のレジンはかけてきていました。
案の定レジンを取り除いてみると中に虫歯ができていました。 |
 |
・上の写真は保険適用で金属のインレーを入れた状態です。
見た目もよくないですが、金属アレルギー等よくないこと引き起こすかもしれません。 |
 |
・上の写真はセラミックインレーを入れた状態です。
見た目も非常に優れており、時間が経っても変色することはありません。
また、金属を使用しないため体に優しい治療法と言えるでしょう。
|
|
当然、術者がきちんとした形成 (歯を削ること)をおこない、精密な型のとれる材料で型をとり、技工士がきちんとしたインレーを製作し、術者がきちんとした材料で正確なステップを踏んで 装着することが前提ですが、セラミックインレーはまずかけることはありません(自分の歯がかけるぐらいの衝撃では当然かけますが)。当医院では5年間の保 証をつけています。
ところで、ハイブリッドセラミックインレーとはセラミックの粒子とレジンを混ぜたもので作られたインレーのことです。はじめに装着した時点でもセラミック インレーの方が審美的に優れていますが、ハイブリッドセラミックインレーはレジンの成分を含む為、どうしても時間が経過すると変色をおこします。
当医院ではハイブリッドセラミックインレーの治療は申し訳ありませんがおこなっていません。
|
|
|
このページの先頭へ戻る
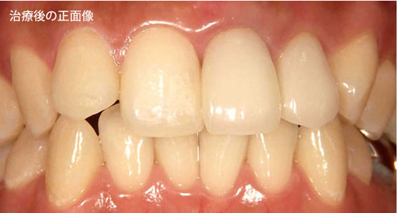
ホームホワイトニングとメタルボンドクラウンの治療症
|
上の前歯6本のうち向って右の一番目の歯以外をホームホワイトニングした後、 右の一番目の歯にメタルボンドクラウンを装着しました。
下の歯の色が元々の色ですから比較していただければ、効果のほどはご理解いただけると思います。
また、メタルボンドクラウンを装着した歯ですが、ぱっと見はほとんどわからないと思いますが、
内部に金属を使用しているため、光が強くあたるとまわりとは違って見えます。 また、根元の歯肉は少し暗く見えます。
もし、上記の部分が気になるようであれば、下記の「ファイバーコアとオールセラミッククラウン」を選択した方が良いでしょう。
|
このページの先頭へ戻る
ホームホワイトニングとファイバーコア+オールセラミッククラウンの治療症例
|
上の前歯6本のうち向って左の一番目の歯以外をホームホワイトニングした後、左の一番目の歯にファイバーコア+オールセラミッククラウンを装着しました。
下の歯の色が元々の色ですから比較していただければ、効果のほどはご理解いただけると思います。
上述のメタルボンドクラウンと比較していただけるとよくわかると思いますが、金属を使用していないため内部まで光がはいりこみ、根元の歯肉は暗くはみえにくいです。
その他にもメタルボンドクラウンと比較すると色々とメリットがあります。
詳しくは上述の「ファイバーコア+オールセラミッククラウン」の説明をご覧ください。
|
このページの先頭へ戻る
歯肉のホワイトニング(黒ずみの除去)の症例
|
喫煙等の影響で歯肉が黒ずんできています。
左側の二本の歯肉のみ半導体レーザーにて黒ずみを除去しました。
治療回数は3回、治癒期間は3週間です。
(リスク)一時的に痛みがでることがあります。
(1歯1回1500円税別、通常2~3回必要です。) |
|
オフィスホワイトニング / ホームホワイトニング |
このページの先頭へ戻る
ポーセレンラミネートベニアの症例
|
中央部分にレジン充填されており、変色してきています。
 |
 |
前歯2本が捻転して(ねじれて)います。
ポーセレンラミネートべニアは歯の表面をごく少量削除して、うすいセラミックをはりつける治療法です。
クラウン(かぶせる治療法)と比較すると、歯の色・ねじれ等を最小限の削除量で改善できる歯に優しい治療法です。
またレジン充填(よくプラスチックといわれます)と比較すると、まずはじめの仕上がりも格段の差がありますし、変色のおそれもないですし、破折・脱落の危険もほぼありません。 また、限界はありますが、矯正治療と比較すると短期間で異物感の強い装置をいれることなく見た目の歯並びを改善できる治療法です。興味のある方は一度ご相談ください。
|
このページの先頭へ戻る
オールセラミッククラウンの治療症例
|
右上の一番目の歯・・・金属のコア(心棒)の上にセラミッククラウン?が装着されています。中の金属色が透けてみえて、審美的に問題があります。

金属のコアを除去した後、ファイバーコアをたて、オールセラミッククラウンを装着しました。 |
 |
右上の二番目の歯が舌側(後側)にあります。
二番目の歯にオールセラミッククラウンを装着しました(クラウンを装着する時、唇側(前側)にずらしました)
右上の一番目の歯は残存歯質が少なくなっており、脱落等防止のため、二番目の歯と連結したオールセラミッククラウンを装着しました。
一番目の歯の審美性は改善され、二番目の歯の歯並びも改善されました。またファイバーコア+オールセラミッククラウンには他にも色々とメリットがあります。詳しくは上述の「ファイバーコア+オールセラミッククラウン」の説明をご覧ください。
|
オールセラミッククラウンとポーセレンラミネートべニアの症例
|
向かって右側1番目と左側目2番の歯はレジン充填されており、変色してきています。
向かって右側2番目と左側1番目の歯は神経の治療後、レジンを前装した冠が装着されており、
変色してきています。
また、根元の歯肉も黒ずんできています。
向かって右側1番目と左側2番目の歯はポーセレンラミネートべニアを装着しました。
向かって右側2番目と左側1番目の歯はオールセラミッククラウンを装着しました。
根元の歯肉の黒ずみもかなり改善されています。 |